Một nụ cười đẹp không chỉ nằm ở màu răng trắng sáng mà còn ở sự cân đối với khuôn mặt. Răng xỉn màu, mẻ, thưa hoặc lệch nhẹ có thể khiến nhiều người mất tự tin khi giao tiếp, dù chức năng ăn nhai vẫn bình thường.
Nha khoa thẩm mỹ giúp cải thiện tổng thể nụ cười một cách an toàn, có kế hoạch và phù hợp từng khuôn mặt.
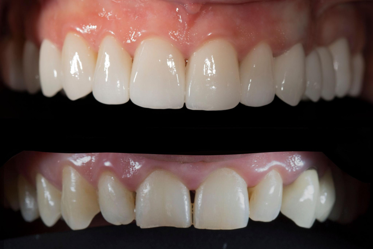
Thẩm mỹ răng không phải làm răng trắng nhất – mà là làm nụ cười hài hòa nhất.
Nha khoa thẩm mỹ là gì?
Nha khoa thẩm mỹ tập trung vào:
- Màu sắc răng
- Hình dáng răng
- Đường cười
- Tỷ lệ răng – môi – khuôn mặt
Khác với điều trị sâu răng hay viêm nướu, thẩm mỹ răng đòi hỏi sự phân tích tổng thể và cá nhân hóa cho từng người.
Các dịch vụ được thực hiện tại
Nha khoa Linh Trung
1️⃣ Tẩy Trắng Răng


Tẩy trắng răng phù hợp khi răng:
- Ố vàng do cà phê, trà
- Xỉn màu theo thời gian
- Nhiễm màu nhẹ
Phương pháp giúp cải thiện màu răng nhanh chóng mà không làm thay đổi cấu trúc răng thật.
Lưu ý: Không nên lạm dụng tẩy trắng quá thường xuyên để tránh ê buốt kéo dài.
2️⃣ Bọc Răng Sứ Thẩm Mỹ

Bọc răng sứ áp dụng khi:
- Răng mẻ lớn
- Răng đã điều trị tủy
- Răng nhiễm màu nặng
- Muốn thay đổi hình thể rõ rệt
Mão sứ giúp tái tạo hình dáng răng, tăng độ chắc chắn và cải thiện thẩm mỹ đáng kể.
Một ca bọc sứ tốt cần đảm bảo:
- Màu sắc tự nhiên
- Không cộm khớp cắn
- Không viêm nướu sau khi gắn
3️⃣ Mặt Dán Sứ (Veneer)

Veneer là lớp sứ mỏng dán lên mặt ngoài răng.
Phù hợp khi:
- Răng thưa nhẹ
- Răng lệch nhẹ
- Muốn cải thiện màu sắc tự nhiên
Ưu điểm lớn nhất là bảo tồn mô răng thật tối đa và ít xâm lấn hơn so với bọc sứ toàn phần.
4️⃣ Chỉnh Nha Thẩm Mỹ (Niềng Răng)

Nếu răng lệch do cấu trúc, niềng răng giúp:
- Sắp xếp răng đều tự nhiên
- Cải thiện khớp cắn
- Giữ nguyên răng thật
Đây là phương pháp có thời gian điều trị dài hơn nhưng bền vững và sinh học hơn.
Làm răng thẩm mỹ có đau không?
Phần lớn các phương pháp đều được gây tê khi cần thiết. Sau điều trị có thể ê nhẹ 1–2 ngày và sẽ ổn định nhanh.
Quan trọng nhất là:
- Chỉ định đúng phương pháp
- Thực hiện đúng kỹ thuật
- Điều chỉnh khớp cắn chuẩn
Chi phí nha khoa thẩm mỹ tại Thủ Đức
Chi phí phụ thuộc vào:
- Phương pháp lựa chọn
- Số lượng răng thực hiện
- Loại vật liệu sử dụng
Tại Nha khoa Linh Trung, khách hàng được tư vấn rõ ràng trước khi điều trị, tránh phát sinh ngoài kế hoạch.
Vì sao nên chọn Nha khoa Linh Trung?
- Phân tích tổng thể nụ cười trước khi làm
- Không can thiệp quá mức cần thiết
- Vật liệu rõ nguồn gốc
- Theo dõi sát sau điều trị
Thẩm mỹ răng không chỉ là thay đổi bề mặt – mà là thiết kế nụ cười phù hợp với từng khuôn mặt.
Thông tin liên hệ:
- Địa chỉ: 104 Linh Trung, P. Linh Trung, TP. Thủ Đức, TP.HCM
- Điện thoại: 084 6809 555